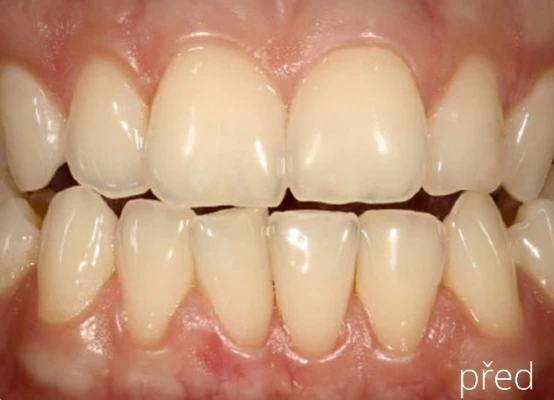
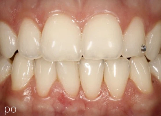
Bělení neboli zesvětlování zubů je chemický proces používaný v estetické stomatologii.
Je důležité podotknout, že před každým bělením zubů by měl zubní lékař nejdříve prohlédnout celou ústní dutinu, ošetřit všechny kazy, nevyhovující výplně a odstranit zubní kámen z povrchu zubů. Až poté lze začít s bělením zubů.

